Post treatment stability after 5 years of retention with vaccum-formed and bonded retainers - a randomized controlled trial
Anke Kramer, Mats Sjostrom, Catharina Apelthun, Mats Hallman & Ingalill Feldmann
What did the authors aim to do in this study?
The primary objective of this randomized controlled trial was to evaluate and compare the post treatment changes in the maxilla and mandible after 5 years of retention with two different retention protocols, the removable vaccum-formed retainers (VFR) and the bonded cuspid - to - cuspid retainers (CTC). The secondary aims are to investigate the patient's perceptions and compliance with the retention appliances after 5 years and to evaluate retainer failure.
How did the authors evaluate?
The trial included 104 adolescent patients, randomized into two groups which was computer generated, using sequentially numbered, opaque and sealed envelopes. All the patients were treated with fixed appliances in both jaws with and without extractions. Patients in the intervention group received a VFR in the mandible and the patients in the comparator group recieved a CTC. Both the groups had a VFR in the maxillary arch. Alginate impressions were taken at four different time points: directly after debond (T1), after 6 months of retention (T2), after 18 months (T3), and after 5 years (T4). Plaster models before treatment and at the follow up time points (T1-T4) were sent to the lab for scanning. All digital 3D models were analysed with the DDP-Ortho software.
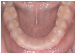
Figure 1. (a) Vaccum-formed retainer (VRF) covering all erupted teeth in the maxilla, (b) VFR covering premolar to premolar in the mandible, and (c) Cuspid-to-cuspid retainer (CTC) in the mandible.
The primary outcome measure was stability, which was determined by analysing post treatment changes in the maxilla and mandible regarding LII, arch length, intercanine width, intermolar width, overbite and overjet. The digital models were analysed at baseline, at T1,T2,T3 & T4. Secondary outcomes were the evaluation of patient's perceptions at T4 using a questionnaire and to explore the frequency of and probable reasons for retainer failure. The questionnaire consisted of 13 questions from a previously validated questionnaire that was modified for the retention follow ups. The questions covered the following domains: treatment outcome satisfaction, retainer acceptance and compliance. The patients completed questionnaires at T1, T2, T3 & T4.
What did the authors find?
The post treatment changes between T1 and T4 in both jaws were overall small. In the maxilla, LII increased significantly equally in both groups. In the mandible, LII increased significantly in the group VFR/VFR in comparison to group VFR/CTC. In both the groups, overjet was stable, overbite was increased and the arch lengths decreased continuously. Intercanine widths and intermolar width in the mandible remained stable, but intermolar width in the maxilla decreased significantly. No differences were found between groups. Regardless of the retention strategy used, the patients were very satisfied with the treatment outcome and their retention appliances after 5 years.
What did the authors conclude?
· The relapse in both the jaws was small and of minor clinical significance after 5 years of retention.
· Anterior alignment in the mandible was more stable with a bonded CTC retainer compared to a removable VFR after 5 years of retention.
· Anterior malalignment in the maxilla increased after 5 years of retention with a VFR.· Patients were equally satisfied with fixed and removable retention appliances.





Comments
Post a Comment